Informaţii despre investigaţiile utile necesare în monitorizarea modernă a sarcinii (medicina materno-fetală)
Embrion la examinarea de depistare a sarcinii – la cateva saptamani de intarziere a menstruatiei, cand ecografic se poate evidentia si activitate cardiaca a sa. Evoluţia naturală a unei sarcini poate fi împărţită în două mari categorii :
- Sarcina normală – fără riscuri (ce reprezintă aproximativ 80-85% dintre cazuri) – şi care, cel mai probabil, se termină fericit prin naşterea la termen a unui copil sănătos (situaţia dorită de toată lumea);
- Sarcina patologică – cu evoluţie anormală ( restul de 15-20% din cazuri), situaţie în care pot aparea o serie de complicaţii ce pot afecta viitorul copil sau starea de sănătate a mamei – de exemplu naştere prematură (2-10%), malformaţii congenitale (3-4%), anomalii cromozomiale / genetice, macrosomie, o serie de afectiuni materne ca şi: preeclampsie, diabet gestaţional, infecţii cu citomegalovirus / toxoplasma / rubeola, etc).
Principalul nostru scop este acela de a depista precoce – la o vârstă de sarcină cât mai mică (12 – 20 saptamini) – acele sarcini care au un risc crescut de a prezenta complicaţii - anomalii (prin consultaţii de screening materno-fetal). Ulterior sunt posibile o serie de interventii diagnostice şi terapeutice, ce permit o conduită / supraveghere specială a acestor sarcinii.
Acest scop se poate realiza prin respectarea unui algoritm de management care include în principal: consultaţii de SCREENING şi DIAGNOSTICARE.
SCREENING
Pentru depistarea anomaliilor fetale cromozomiale/congenitale si a sarcinilor cu risc crescut
Consultațiile de screening au ca scop identificarea unui grup restrâns de femei gravide care prezintă un risc crescut pentru o serie de probleme legate de sarcină (anomalii fetale sau stări patologice materne induse de sarcină). Acest risc este estimat individual pentru fiecare gravidă, pe baza unui algoritm științific elaborat de Fondaţia de Medicină Fetală, Londra.

Obișnuit se recomandă trei astfel de examinări de screening pentru toate gravidele (indiferent de vârsta, rasă, patologie asociată):
- în primul trimestru (la 11-13+6 saptamani);
- în trimestrul al doilea (la 20-22 saptamani);
- în trimestrul al treilea (la 32-34 saptamani).
Screening pentru estimarea riscului de anomalii cromozomiale

Translucența nuchală, este cel mai important marker ecografic din primul trimestru, care se asociază cu anomaliile fetale – cromozomiale, genetice, anatomice
- Efectuat în primul trimestru (nuchal scan, între 11-14 săptămâni de sarcină – cu performanța cea mai bună; rata de detecție de 92% și 3% rezultate fals pozitive în cazul sindromului Down); depistarea anomaliilor fetale severe: anencefalie, alte defecte de tub neural, anomalii cardiace, anomalii ale peretelui abdominal, anomalii renourinare, anomalii ale membrelor, anomalii ale sistemului nervos central, etc;
- sau în trimestrul 2 (morfologia fetală împreună cu triplu test, între 20-22 săptămâni de sarcină); ca si a două opțiune, în cazul în care nu s-a efectuat screeningul de prim trimestru); care este cea mai importantă evaluare a anatomiei fetale; Are ca scop evaluarea ecografică cât mai completă a anatomiei fetale cu scopul de a depista elemente de morfologie fetală care se abat de la normal (aspect și/sau dimensiuni) și care se corelează frecvent cu o serie de malformații congenitale ale fătului;

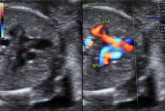
Ecocardiografia fetală este o etapă importantă a examinarii anatomiei fetale – anomaliile cardiace sunt cele mai frecvente malformatii congenitale (în imagine bifurcația trunchiului a. pulmonare).
- la 32-34 săptămâni – cu ocazia evaluării stării de bine a fătului, cand este posibilă depistarea unor anomalii cerebrale, cardiovasculare, renale, etc. evolutive, ce nu au fost evidente în trimestrul 2.
Depistarea sarcinilor cu risc crescut
Cu ocazia acestor examinări de screening, pe langă cele expuse mai sus, se realizează depistarea și managementul sarcinilor cu risc crescut pentru: preeclampsie (hipertensiune indusa de sarcină), naștere prematură, diabet gestational, restricție de crestere fetală intrauterină, sarcini gemelare/multiple monochorionice etc.
DIAGNOSTICAREA ANOMALIILOR FETALE CROMOZOMIALE ȘI CONGENITALE
În cazul gravidelor care aparțin unui grup de risc crecut (risc estimat în urma examinărilor de screening expuse mai sus), se propune etapa urmatoare și anume cea diagnostică.
Diagnostic prenatal al anomaliilor cromozomiale sau genetice
Constă în proceduri invazive prin care se recolteaza celule ce apartin fătului sau anexelor sale și care pot fi analizate din punct de vedere genetic
Aceste proceduri sunt:
- CVS (chorionic vilus sampling) – biopsie de vilozități choriale: intre 11-14 saptamani de sarcina;
- Amniocinteza: după 16 săptămâni de sarcină;
- Cordocenteza: dupa 20 săptămâni de sarcină.